
Before & after photos of Spring Valley Dental Care - Implant Center patients
Put an end to dental discomfort.
Take back control of your well-being.
If your goal is to enjoy your favorite foods, regain control of your health, eliminate dental pain, or feel confident in your appearance, Spring Valley Dental Care - Implant Center is here to assist you in achieving it.
Dental Problems Solved
Experience the quickest and most effective resolution for your dental issues.
Regain your confidence.
Not just a stunning new set of implant teeth, but so much more.
Join more discussions, smile brighter.
You don't have to cover your mouth or hide your teeth anymore.
Dental Issues Resolved
The most efficient and enduring solution to assist you in resolving your dental issues quickly.
Spring Valley Dental Care - Implant Center
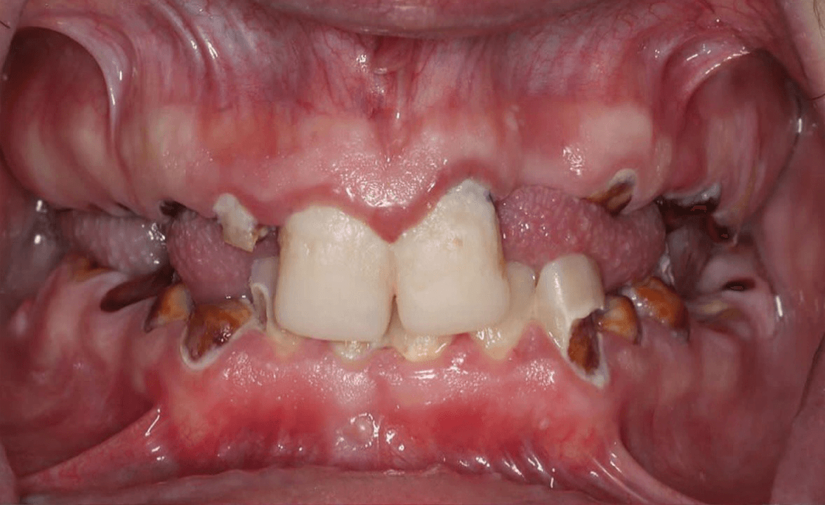
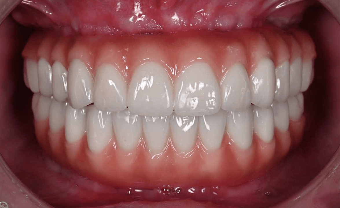
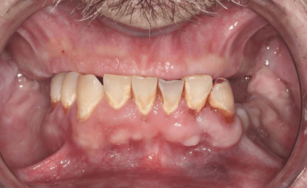
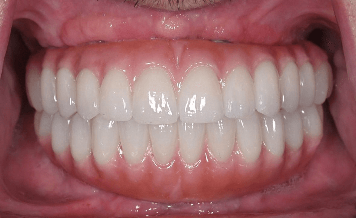
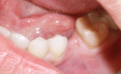
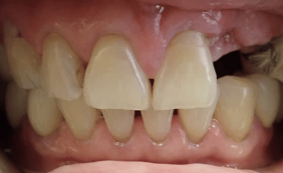
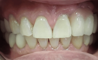
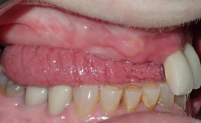
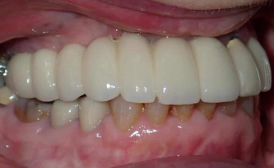
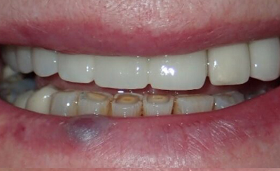
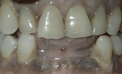
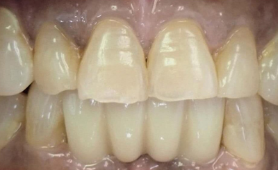
Smile Gallery!

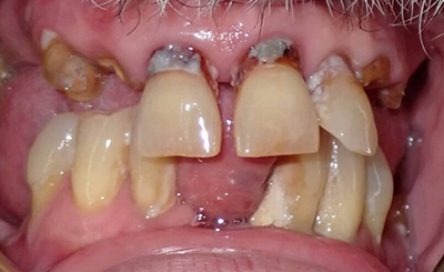
Before

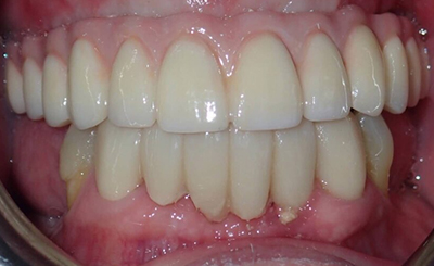
After

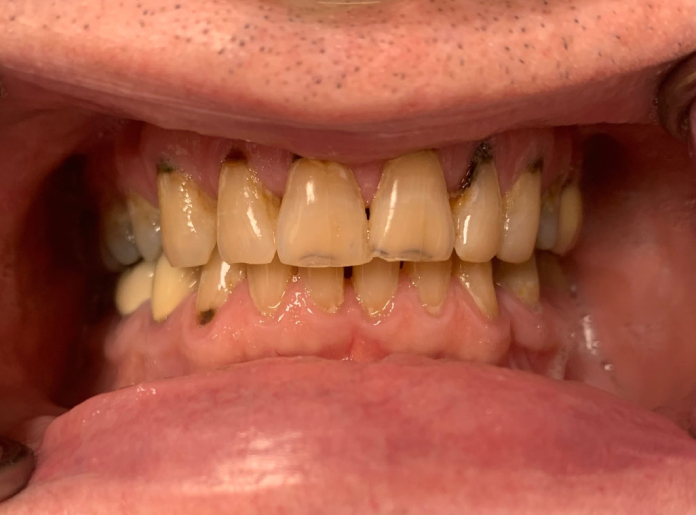
Before

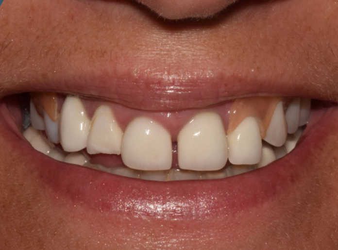
After

Before

After

Before

After

Before

After

Before

After

Before

After

Before

After

Before

After

Before

After

Before

After

Before

After

Before

After

Before

After

Before

After
Discover if you are eligible for Spring Valley Dental Care - Implant Center in under 2 minutes.
FAQ for Spring Valley Dental Care - Implant Center
Here is a concise compilation of commonly asked questions to assist you in your search for the optimal dental solution.
The cost of the procedure.
Spring Valley Dental Care - Implant Center is presently offering reduced prices for single and double zirconia arches, whether it is for the upper, lower, or both sets.
What Sets Us Apart
At Dental Implant Center, situated at Spring Valley Dental Care - Implant Center, we strive to do more than just fix smiles. Our goal is to renew the self-assurance and positivity of our patients, who proudly possess those smiles.
Authentic Feedback
Watch and read genuine testimonials from actual patients at Spring Valley Dental Care - Implant Center to learn about their experience and gain insights into the remarkable results of this procedure.
