
Get the best smile at an affordable price.
At Spring Valley Dental Care - Implant Center, our mission is not only to restore smiles but also to restore the confidence and optimism of the patients behind those smiles.
Dr Mady of Spring Valley Dental is wonderful. He brought back my smile. Not only is he skilled but he cares which is rare. The ladies at the front as well as the hygienists are all super nice and helpful. My mom and husband also use Spring Valley Dental. I would highly recommend the team. They are phenomenal!
– Julie R.
Dental Problems Solved
Experience the quickest and most effective resolution for your dental issues.
Regain your confidence.
Not just a stunning new set of implant teeth, but so much more.
Engage more, smile brighter.
You don't have to cover your mouth or hide your teeth anymore.
Enhance Your Well-being
Experience the comfort and confidence to fully embrace the things that truly matter to you.

NO MORE DENTAL PAIN
Regain control over your health.
If your goal is to enjoy your favorite foods, regain control of your health, eliminate dental pain, or feel confident in your appearance, Spring Valley Dental Care - Implant Center is here to assist you in achieving it.
Do you have teeth that are failing or missing?
The Spring Valley Dental Care - Implant Center procedure offers a durable and non-removable alternative to dentures, providing those with failing or missing teeth the closest resemblance to natural dentition. This digitally designed solution is highly reliable.
Are you experiencing long-lasting dental issues?
If you have been struggling with your oral health for a long time, Spring Valley Dental Care - Implant Center provides our patients with a lasting solution to their dental issues.

Dr. John Mady, DDS, FAGD, AFAAID
Meet The Doctor
Hello, my name is Dr. John Mady and I am the Owner/Doctor here at Spring Valley Dental Care - Implant Center. I learned so much from my greatest mentor, my father who founded our practice. He instilled in me to “always be improving” and that drives me to try to create the best possible patient experience.
First and foremost, I believe that building trust with patients starts with honest communication and that means being transparent about treatment options and expected outcomes.
LEARN MORE
Authentic Feedback
Discover genuine testimonials from actual patients of Spring Valley Dental Care - Implant Center as they share their firsthand experiences and provide insights into the remarkable outcomes of this procedure.
Zirconia Restoration is available.
The zirconia restoration is custom designed in Spring Valley Dental Care - Implant Center's advanced dental lab, utilizing exclusive technology for exceptional durability and superior quality.
The cost of the procedure.
Spring Valley Dental Care - Implant Center has exclusive discounted rates for single and double zirconia arches, whether it's for the upper, lower, or both.
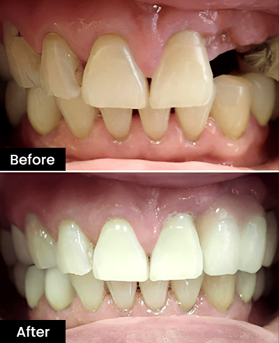
Smile Gallery!
Check out the amazing transformations of patients who have undergone the revolutionary implant teeth procedure at Spring Valley Dental Care - Implant Center. See their before and after photos here.

Welcome to Our Dental Lab.
Our providers have a state-of-the-art dental laboratory in Maywood, NJ. We keep everything in-house, ensuring consistent and reliable outcomes. Your records will not be sent overseas, and you won't have to wait weeks for results. With our own lab, we maintain unparalleled quality control and deliver high-end restorations every time. We reduce production costs and pass on the savings to our patients.
